ボロボロの歯でお悩みの方へ
歯医者のキーンと削る音、神経に触るズキッとする痛み、幼少期の怖い思い出、麻酔、程度の違いはあれど歯医者が苦手な方は非常に多くいらっしゃいます。
当院では、歯医者は苦手だけど「何とかしたい」「普通に咬めるように戻りたい」と思われる方が、少しでも安心して治療を行い、「今までの生活を取り戻す」お手伝いができるように努めています。
歯医者がどうしても苦手な方、お仕事や育児で通えなかった方、虫歯になっても足が遠く放置された方、ご家族に勧められて一大決心され受診された方、歯が抜けても、だましだまし反対の歯で咬んでいたけれどさすがに咬めなくなり受診された方、いくつか歯医者に通ったけれど良くならず途中で通えなくなり諦めてしまった方、このように様々な理由で、お口の問題を放置されてしまった患者さまをこれまで専門医として、多く治療をさせていただいてきました。
そのような患者さまとお話すると、皆様、本当はいつか、しっかりと治療をして「何とかしないといけない」「咬めるようになりたい」、「見た目を回復させたい」と思われている方が多かったように思います。
初めてお話させていただいた際は、「情けないのですが・・・」「お口を見せるのもお恥ずかしのですが・・・」とおっしゃられる方も多くいらっしゃいますが、歯科医師の私ですら、幼少期の歯科治療を受けた時の怖い思い出から、今でも自分が治療を受けるのは本当に苦手です。
そして、お悩みをお聞きし、咬めるように、見た目や発音などの機能を回復させ、お口のことを気にせず今までの食生活、日々の生活をお送りいただくことが補綴専門医としての使命ですので、現在のお口の状況は、決して恥ずかしいことではなく、これから、今までのような生活を取り戻すスタートだと思っていただけたら幸いです。
治療に関しては、虫歯や歯が抜けてしまい、長く放置されてしまった場合、残りの歯が倒れてきたり、ぐらぐらしていたり、咬める場所で無理に咬んでいたため、咬み合わせが大きく乱れ、簡単には治療が得られず、入れ歯治療としては難易度が非常に高く、治療が行えないと言われるケースも多くあります。
これまでそのような患者さまを、補綴専門医として、ご紹介いただいたり、遠方からお越しくださったりと多くの患者さまを治療させていただきました。そのため当院では、患者さまとまずお話をして、ご心配なこと、ご希望などをよくお伺いし、治療に大切な精密な検査を行った上で、その方に合った複数の治療法のメリット、デメリット、期間、費用などを分かりやすくご説明してから治療を開始します。ですので、これまで歯科治療が苦手だった方の治療が、受診後すぐに始まるということはなく、初診時は、急なお痛みやお困りごとがありましたら、応急処置を行い、よくお話をお伺いし、検査を行います。
次回に、検査結果から診断を行い、治療計画を立て、可能な限り患者さまのご希望に沿った治療法をいくつかご説明させていただき、患者さまと一緒に治療法を決定してから、治療を開始していきます。
お悩みやご希望などを踏まえて、補綴専門医として、医学的根拠に基づいた治療法を的確に分かりやすく、責任をもってご説明させていただきます。そして、どの治療法を選択されるのか、また治療を行うか行わないかも含め、患者さまがお決めになる大切な選択ですので、治療法、期間、費用など、じっくりご検討いただければと考えています。
治療の際のお痛みを和らげるための配慮、保存困難な歯でも残したい、違和感の少ない入れ歯や、入れ歯をと気づかれないようにしたいなど、お話をお伺いし可能な限りご希望に沿った治療が行えるように努めています。また、検査結果から治療法の説明のみのご希望の方やセカンドオピニオンなども補綴専門医として行っておりますので、お気軽にご相談いただければと思います。
ボロボロの歯の症例
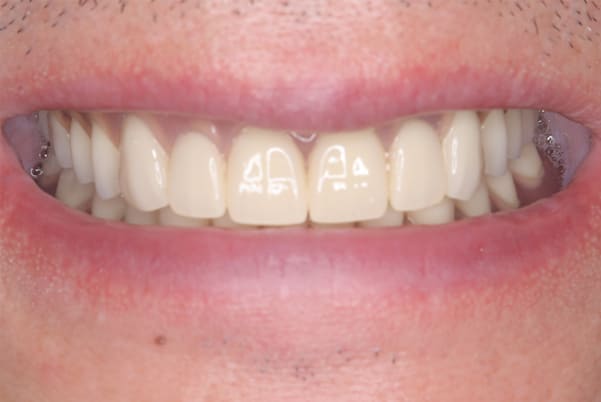
娘に勧められ治療を決心
-

治療前
-

治療途中
-
- 性別・年齢
- 女性(30代)
-
- 主訴
- 今まで忙しくて、歯医者は苦手でこれなかったが、娘に勧められ何とかしようと決心してきた。ほとんどやわらかいものしか食べれていないので、娘と外食したり、普通に食事ができること、人前でマスクなしで普通に話せるようになりたい
-
- 治療
- 【治療途中】
治療用レジン床総義歯(咬合平面修正)
下顎プロビジョナルレストレーション
(精密仮歯) 11歯
-
- 治療期間
- 約2か月間(治療途中)
-
- 費用
-
- 治療用レジン床総義歯:33万円
(咬合平面修正) - プロビジョナルレストレーション:
1.1万円×11歯(精密仮歯)
合計:45.1万円(税込)
- 治療用レジン床総義歯:33万円
前歯がとれて痛い、
食事もできず、見た目も悪い
-
- 性別・年齢
- 女性(60代)
-
- 主訴
- 前歯がとれて、痛い、食事ができない、見た目が悪く人に会えないので何とかしてほしい
-
- 治療
-
- 上顎精密金属総入れ歯
- 下顎精密金属部分入れ歯
- 磁性アタッチメント(白金加金) 1歯
-
- 治療期間
- 約5か月間
-
- 費用
-
- 上顎精密金属床総入れ歯:55万円
- 下顎精密金属床部分入れ歯:55万円
- 磁性アタッチメント:11万円×1歯
(白金加金)
合計:121万円(税込)
娘とハンバーガーを食べたい
-
- 性別・年齢
- 男性(50代)
-
- 主訴
- 娘とハンバーガーを食べたい、お肉も食べれるようになりたい、カラオケに行きたい
-
- 治療
-
- 上顎精密金属床総入れ歯
- 下顎精密金属床総入れ歯
- 磁性アタッチメント(白金加金) 3歯
-
- 治療期間
- 約7か月間
-
- 費用
-
- 上顎精密金属床総入れ歯:55万円
- 下顎精密金属床総入れ歯:55万円
- 磁性アタッチメント:11万円×3歯
(白金加金)
合計:143万円(税込)
食事ができるようになりたい
-
- 性別・年齢
- 女性(40代)
-
- 主訴
- 食事ができない、何とかしたい
-
- 治療
-
- 上顎精密金属床総入れ歯
- 下顎精密金属床総入れ歯
-
- 治療期間
- 約6か月間
-
- 費用
-
- 上顎精密金属床総入れ歯:55万円
- 下顎精密金属床総入れ歯:55万円
合計:110万円(税込)
下顎の歯がぐらぐらで痛い、
咬めるようになりたい
-
- 性別・年齢
- 男性(70代)
-
- 主訴
- 下歯がぐらぐらで抜けそうで痛い、何でも咬めるようにしてほしい
-
- 治療
-
- 上顎精密金属床部分入れ歯
- 下顎精密金属床部分入れ歯
- 陶材焼付鋳造冠 4歯
- 磁性アタッチメント 1歯
-
- 治療期間
- 約6か月間
-
- 費用
-
- 上顎精密金属部分入れ歯:55万円
- 下顎精密金属部分入れ歯:77万円
(治療用義歯含、咬合平面等修正) - 陶材焼付鋳造冠:16.5万円×3歯
(ミリング加工) - 陶材焼付鋳造冠:14.3万円×1歯
(ミリングなし) - 磁性アタッチメント:11万円×1歯
(白金加金)
合計:157.3万円(税込)
子供の結婚式で恥ずかしくないようにしたい

治療後の口元
-
- 性別・年齢
- 男性(50代)
-
- 主訴
- 食べれない、歯がぐらつく、子供の結婚式で恥ずかしくないようにしたい、歌いたい
-
- 治療
-
- 上顎精密金属床総入れ歯
- 下顎精密金属床総入れ歯
- 磁性アタッチメント(白金加金) 3歯
-
- 治療期間
- 約7か月間
-
- 費用
-
- 上顎精密金属床総入れ歯:55万円
- 下顎精密金属床総入れ歯:55万円
- 磁性アタッチメント:11万円×3歯
(白金加金)
合計:143万円(税込)
よくある質問 Q&A
-
- ボロボロの歯の治療は
痛みがありますか? -
当院では痛みを極力感じさせない工夫として「表面麻酔」「麻酔薬の温度管理」「超極細針を使用」「静脈内鎮静法」にも対応し、痛みを抑えるさまざまな技術、さらに麻酔医による静脈内鎮静法などを取り入れることで、痛みや不快感、恐怖心をできるだけ軽減できるよう努めています。
- ボロボロの歯の治療は
-
- ボロボロの歯の治療に
年齢制限がありますか? -
入れ歯が合わないと感じたら、自己判断で調整や修理をせず、すぐに歯科医院を受診してください。
年齢の上限はなく、どなたでも治療が可能です。
- ボロボロの歯の治療に
執筆・監修者

逗子海岸歯科
院長堤一輝Ikki Tsutsumi
- 所属学会・認定医
-
- 日本補綴歯科学会 専門医
- 日本口腔インプラント学会
- 日本審美歯科学会
- 日本顎咬合学会
- 日本歯周病学会
- 日本老年歯科医学会
- 有床義歯学会
- メッセージ
-
逗子海岸歯科は、日本補綴歯科学会 専門医である院長の私が、丁寧なカウンセリングと徹底した診断に基づき、お一人おひとりの健康と美しさを考えた歯科医療を最適な治療プランをご提案します。ぜひお気軽にご相談ください。









